일상생활 중 갑작스럽게 치아가 깨지는 경험을 해보신 적 있으신가요? 딱딱한 음식을 씹거나, 밤에 이를 악무는 습관, 교통사고 등 다양한 원인으로 인해 치아 깨짐 현상이 발생할 수 있습니다. 단순히 겉으로 보기에 작은 손상처럼 보여도, 치아 내부까지 손상되었을 수 있어 주의가 필요합니다. 이번 글에서는 치아 깨짐의 원인부터 증상, 대처법과 치료 방법까지 자세히 알아보겠습니다.

치아 깨짐 원인은 무엇인가요?
치아가 깨지는 데는 여러 가지 원인이 있습니다. 주된 원인은 다음과 같습니다.
- 외부 충격
- 넘어지거나 사고로 인해 치아에 직접적인 충격이 가해질 경우 깨짐이나 금이 갈 수 있습니다.
- 딱딱한 음식 섭취
- 얼음, 견과류, 사탕과 같은 딱딱한 음식을 무리하게 씹을 경우 치아 금 또는 깨짐이 생기기 쉽습니다.
- 이갈이 및 이악물기
- 스트레스로 인해 밤에 이를 가는 습관이나 무의식 중에 이를 꽉 무는 경우 치아에 과도한 힘이 가해져 균열이 발생할 수 있습니다.
- 치아 내부 충치나 신경 치료 후 약해진 치아
- 충치로 인해 내부 조직이 손상되었거나, 신경 치료를 받은 치아는 구조적으로 약해져 깨질 가능성이 높습니다.

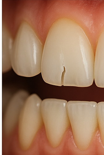
치아 금 간 증상은 어떤가요?
치아에 금이 가거나 깨졌을 때 나타나는 대표적인 증상은 다음과 같습니다.
- 차가운 음식이나 음료에 시림
- 씹을 때 순간적인 통증
- 눈으로 보기에는 이상 없지만 지속되는 불편감
- 잇몸 부위의 불편함 혹은 붓기
이러한 증상은 초기에는 가볍게 느껴질 수 있으나, 시간이 지나면서 통증이 심해지거나 감염으로 진행될 수 있어 조기 진단과 치료가 중요합니다.

치아 깨졌을 때 대처법은?
치아가 깨졌다면 우선 아래와 같은 방법으로 응급 처치를 한 후, 빠르게 치과를 방문해야 합니다.
- 깨진 조각이 있다면 보관하기
- 가능하다면 깨진 치아 조각을 우유나 식염수에 담가 보관해 치과에 가져가면 치료에 도움이 될 수 있습니다.
- 통증이 심하다면 냉찜질
- 볼 안쪽이나 겉쪽에 냉찜질을 하면 부기와 통증 완화에 효과적입니다.
- 딱딱한 음식 섭취 피하기
- 깨진 부위로 음식을 씹는 행위를 삼가고, 가능한 부드러운 음식을 드셔야 합니다.
- 빠른 시간 내 치과 방문
- 치아의 손상 정도를 정확하게 파악하고, 적절한 치료 방법을 결정하는 것이 핵심입니다.

치아 깨짐 치료 방법은?
치아 깨짐의 정도에 따라 치료 방법은 다양합니다. 대표적인 치료법은 다음과 같습니다.
- 레진 또는 심미 보철
- 깨짐이 작고 경미한 경우, 치아 색과 유사한 레진을 사용하여 복원할 수 있습니다.
- 크라운(보철) 치료
- 치아 손상이 중간 정도일 경우 **크라운(금속 또는 세라믹 보철물)**을 덮어 씌워 기능과 외관을 회복합니다.
- 신경 치료 후 보철
- 치아 내부 신경까지 손상된 경우, 먼저 신경 치료를 진행한 후 크라운 치료가 필요합니다.
- 발치 및 임플란트
- 치아가 뿌리까지 깨졌거나 회복이 불가능한 경우 발치 후 임플란트 시술이 불가피할 수 있습니다.

치아 깨짐 예방하려면?
치아가 한 번 깨지면 자연적으로 복구되지 않기 때문에, 예방이 무엇보다 중요합니다. 다음의 방법들을 실천해보세요.
- 딱딱한 음식 피하기
- 스트레스 관리 및 이갈이 방지 장치 착용
- 정기적인 구강 검진
- 운동 시 마우스가드 착용
- 충치 및 치주 질환 예방

결론: 치아 깨짐, 절대 방치하지 마세요
치아가 깨지는 현상은 누구에게나 발생할 수 있습니다. 문제는 깨졌을 당시 통증이 없다고 하여 방치할 경우, 치아 내부까지 손상되거나 감염으로 번질 위험이 크다는 점입니다. 작은 금이라도 발견했다면 치과 전문의의 정확한 진단과 치료를 받는 것이 가장 현명한 방법입니다.
치아 깨짐 치료, 치아 금 간 증상, 치아 깨졌을 때 대처법 등을 검색하시는 분들이 많습니다. 이 글이 여러분의 궁금증 해소와 건강한 치아 유지에 도움이 되었기를 바랍니다.
궁금한 점이나 개인 증상에 맞는 상담이 필요하다면 가까운 치과에 방문하여 상담받는 것을 추천드립니다. 감사합니다.
댓글